生死时速 镜到血止—— 我院消化科成功救治高龄危重消化道大出血患者
近日,我院内镜中心联合重症监护室(ICU)成功为一名78岁高龄、多危重疾病叠加的消化道大出血患者实施急诊内镜止血。从深夜紧急救治到次日复查显效,不到24小时成功止血,为危重患者筑牢生命防线。
3月18日晚,该患者突发消化道大出血,负压吸引瓶引出大量鲜血,血红蛋白骤降至44g/L,仅为正常值三分之一,血液流失过半,血压急剧下降,在大剂量升压药维持下生命体征仍极不稳定,濒临失血性休克。面对患者出血量大、速度快,凝血功能差,基础疾病复杂(合并肝癌介入术后、门静脉血栓、凝血功能异常、重症肺炎、休克、急性呼吸衰竭等9种危重病症),身体状况极差,无法耐受外科手术治疗,消化内科团队经缜密评估确定通过急诊内镜止进行止血。

十二指肠球部冰盐水+去甲肾冲洗

十二指肠球球部喷洒止血粉
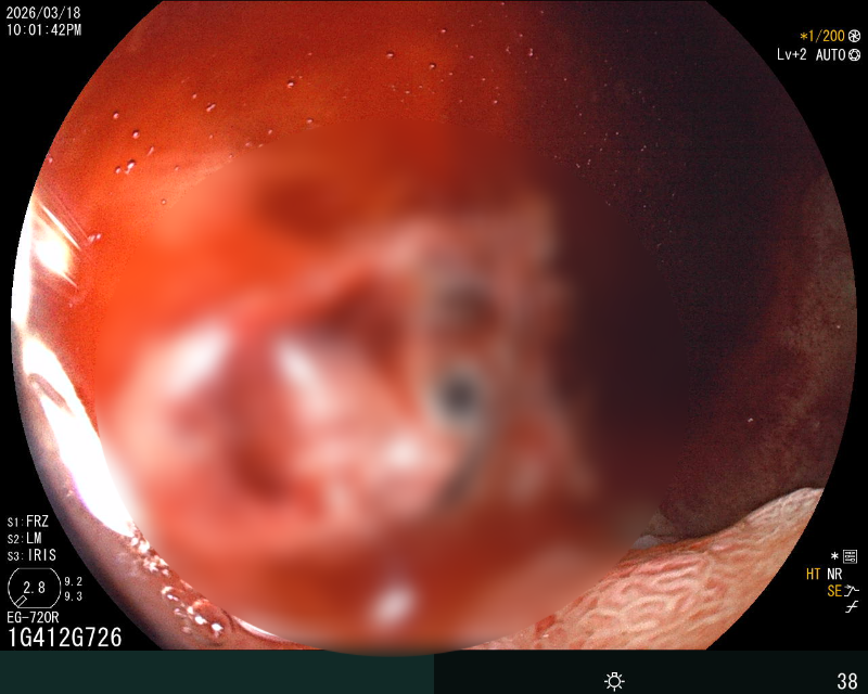
在重症医学科(ICU)团队严密监护保障下,消化科内镜团队克服患者休克、体位受限等困难,紧急开展床旁急诊胃镜。镜下可见出血病灶位于十二指肠球部出现糜烂渗血,一处8×4mm 深溃疡覆血痂及污苔,活动性渗血明显,且黏膜严重水肿、肠腔狭窄,内镜镜身不能通过,操作难度极大。内镜团队通过精准操作,利用去甲肾上腺素联合冰盐水反复冲洗创面,收缩血管减少出血,再通过内镜通道将止血粉均匀喷洒于糜烂及溃疡面。药物覆盖后,渗血即刻停止,创面形成稳定保护层,成功止血。次日胃镜复查显示,患者溃疡创面已覆盖厚白苔,活动性渗血完全消失,黏膜水肿显著消退,肠腔狭窄改善,止血效果确切,为后续抗感染、纠正休克等综合治疗赢得关键时间。目前患者生命体征平稳,未再出现消化道出血。

十二指肠球部治疗后

治疗后十二指肠降段
此次成功救治彰显了我院急诊内镜止血微创、精准、高效的技术优势,以及多学科协作(MDT)救治急危重症的强大合力。我院消化内科将持续提升急危重症内镜诊疗能力,以精湛技术和高效协作,守护患者消化道健康与生命安全。
消化内科简介
【基本简介】
我院内镜中心引进日本富士能全套电子消化内镜,包括电子胃镜、电子结肠镜、碳13幽门螺杆菌检测仪等设备,并设有专业的洗消室、内镜储存房、复苏区、候诊间及家属等候区,环境幽雅,设备先进。为患者提供舒适的内镜诊疗服务。
【病区及人员配置】
有胃肠镜专业技术人员2人,主治医师1人,护师1人。
【诊治范围】
1、无痛内镜的检查 2、内镜手术治疗项目 3、碳13呼气试验
可进行食管、胃、十二指肠、结肠疾病(炎症、溃疡、出血肿瘤、憩室异物等)的诊断:同时完成病变的影像记录及内镜下活检:完成内镜下止血,异物的钳取,食管、胃黏膜染色。对于不能耐受普通胃、肠镜检查的儿童.老年人,以及恐惧胃肠镜检查的人群,胃肠镜室可开展无痛胃、肠镜检查。
诊疗时间安排
门诊就诊:周一至周五(下午)
内镜检查:周一到周五上午(需要提前预约)
包括普通胃镜、肠镜、无痛胃/肠镜(麻醉),息肉切除,粘膜下切除术。
预约电话:020-84187600转2713、2714
ICU简介
一、科室概况
重症医学科作为医院的核心科室之一,配备了国际先进的医疗设备,拥有高级生命支持的生命岛、中央监护系统、高级床旁监护系统、主动脉内球囊反搏器、德国Drager呼吸机、德国金宝血滤机、血气电解质分析仪等,为各类危重患者提供全方位的生命支持与监护。科室拥有一支由资深专家领衔、技术精湛、经验丰富的医疗护理团队,他们均经过严格的专业培训,具备处理复杂、危重病情的能力,致力于为患者提供高效、精准的诊疗服务。
二、服务范围
重症医学科主要收治包括但不限于严重创伤、急性心肌梗塞、呼吸衰竭、多器官功能衰竭、严重感染、大型手术后监护等各类急危重症患者。通过实施早期目标导向治疗、个体化治疗方案及连续性床旁监测,力求在最短时间内稳定患者病情,促进康复,降低死亡率。
三、特色诊疗
特色诊疗:科室能够开展特色技术有:主动脉内球囊反搏(IABP);连续性肾脏替代治疗(CRRT) ;
多学科协作:依托医院强大的医疗资源,重症医学科与心血管内科、外科、呼吸内科等多科室紧密合作,形成多学科联合诊疗模式,为患者提供一站式、全方位的诊疗服务。
重症康复:通过呼吸、肢体、认知和吞咽训练等多种技术,促进重症患者康复锻炼,包括腹式呼吸训练、膈肌刺激训练、良肢位摆放、早期电动起立床训练、神经肌肉电刺激、认知功能重塑以及吞咽功能改善等方法。
人文关怀:在提供高质量医疗服务的同时,我们注重患者及家属的心理需求,设有专门的心理咨询与辅导服务,营造温馨、舒适的康复环境。
重症医学科的开科,是我院发展历程中的一个重要里程碑,也是我们对“以患者为中心”服务理念的深入践行。未来,我们将继续秉承“救死扶伤,精益求精”的宗旨,不断优化诊疗流程,提升服务质量,加强与国际先进医疗机构的交流与合作,努力将重症医学科建设成为区域内的急危重症救治中心,为更多生命带去希望与光明。
在此,我们诚挚邀请广大患者及家属朋友们监督我们的工作,共同见证并参与到这一生命守护的旅程中来。让我们携手并进,共创健康美好的未来!
联系方式: 020-84187600-3333
地址: 广州市海珠区新港西路114号广东省第一荣军优抚医院3号楼3楼

